Board-Certified Orthodontist in St. Augustine
Top-rated orthodontist in St. Augustine offering braces and Invisalign for kids, teens, and adults. Enjoy same‑day starts and 0% APR financing. Looking for an orthodontist near me? Book your free consultation below.
Happy Smiles Orthodontics – Associations & Credentials
Among the Best Orthodontists in St. Augustine
Dr. Mark Komforti, DMD, is a board-certified orthodontist providing advanced, results-driven orthodontic care in St. Augustine. With a background shaped by military leadership and clinical excellence, he brings precision, discipline, and a patient-first mindset to every treatment plan. His experience as a U.S. Army Dental Corps Captain influences his commitment to efficiency, accuracy, and personalized care. Today, he blends modern orthodontic techniques with thoughtful planning to help children, teens, and adults achieve confident, healthy smiles in St. Augustine, Florida.
Meet Dr. Mark Komforti, DMD
Your Top-Rated Family Orthodontist


Starting Orthodontics is Easy
Schedule
Choose Your Plan
Same-Day Braces
Core Orthodontic Services – Orthodontic Treatment in St. Augustine, FL
Braces
Airway Orthodontics
Invisalign
Braces Removal
Orthodontics for Adults
Orthodontics for Children
Bite Problems & Airway Habits
Overbite
Underbite
Mouth Breathing
Tongue Thrust
Crossbite
Open Bite
Crowding
Spacing
Cost & Insurance for Braces & Invisalign in St. Augustine


Advanced Orthodontic Appliances
Palatal Expander
Retainers
TMJ Mouth Guard
Herbst Appliance
Reverse Pull Headgear

Advanced Technology for Precise, Comfortable Orthodontic Care
What Our Patients Say
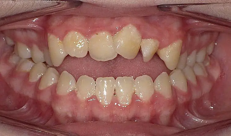
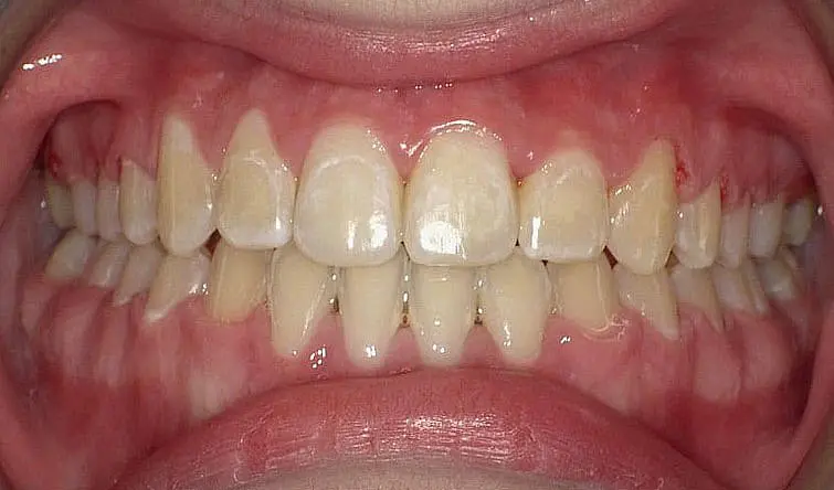
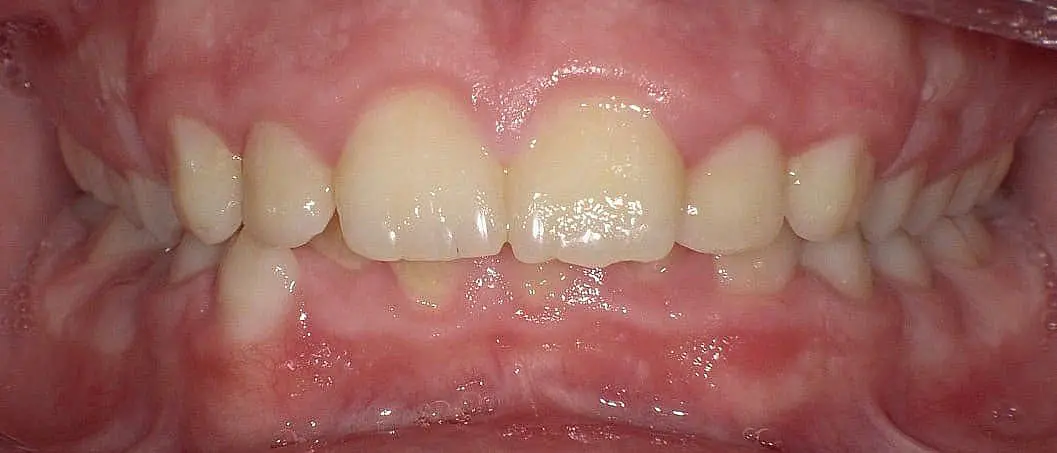
Smile Gallery: Invisalign & Braces Before‑and‑After in St. Augustine
Invisalign/Clear Aligners
Braces
Your Orthodontic Office in St. Augustine
206 Ashourian Ave
Ste 211
St. Augustine, FL
32092
Located in the charming city of St. Augustine, our office is conveniently positioned near some of the area’s most notable landmarks, such as the historic Castillo de San Marcos, scenic St. Augustine Beach, and the lively Historic District. This central location ensures easy access for patients throughout the region.
We are just minutes away from popular neighborhoods like Davis Shores, Vilano Beach, and Marsh Creek. Our office is ideally situated, making it a short drive for patients in areas like Jacksonville and Palm Coast.
Our practice proudly serves families from St. Augustine and surrounding communities, welcoming patients from Davis Shores, Crescent Beach, Butler Beach, St. John’s, World Golf Village, Sampson, Switzerland, Rivertown, Nocatee, the vibrant subdivisions of Silverleaf, Beachwalk, Beacon Lake, St. John’s Forest, Stillwater, Shearwater, Bartram Springs, and Palencia. Whether you’re a local resident or visiting, we look forward to providing exceptional orthodontic care to all!





